Професійна гігієна зубів в Одесі

Чистота, яку видно одразу після процедури.
  • Усунення пігментації та нальоту
  • Гладка поверхня зубів
  • Свіже дихання та комфорт
Записатись на чистку
Професійна гігієна зубів Одеса

Чому домашньої щітки недостатньо?

Навіть найдорожча щітка не вичищає наліт між зубами та під яснами. З часом він твердне.

🦠

Зубний камінь

Твердий наліт, який неможливо прибрати щіткою. В ньому живуть бактерії.

🩸

Кровоточивість

Перша ознака запалення ясен (гінгівіту), що веде до парадонтиту.

😶‍🌫️

Неприємний запах

Бактерії в нальоті виділяють токсини, що псують ваше дихання.

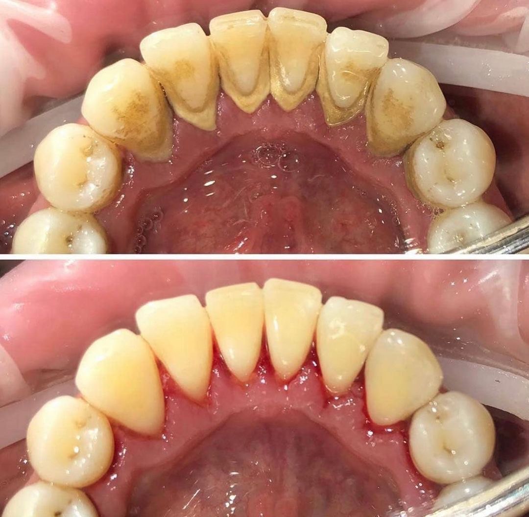
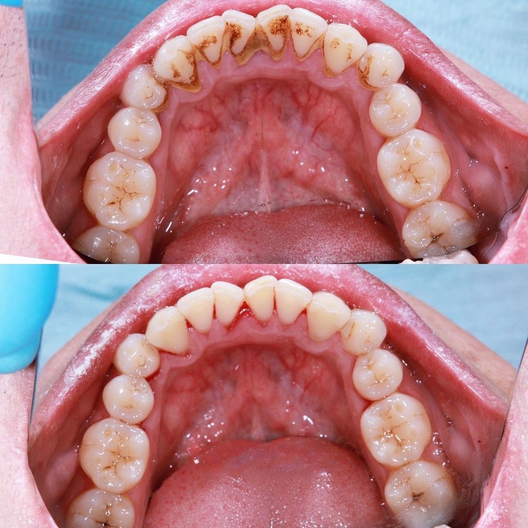
Професійна гігієна зубів в Одесі

Професійне очищення — це контрольоване та делікатне видалення м’якого нальоту, пігментації та твердих відкладень. Процедура спрямована на профілактику карієсу та захворювань ясен.

01

Делікатне очищення порошковим апаратом

Суміш води, повітря та м’якого порошку на основі еритритолу ефективно видаляє біоплівку та пігментацію від кави, чаю, сигарет.

  • Не пошкоджує емаль
  • Безпечне для імплантів, коронок і вінірів
  • Підходить при чутливих яснах
02

Видалення зубного каменю

За наявності твердих відкладень використовується ультразвуковий апарат із регульованою потужністю. Камінь знімається точно й акуратно, без надмірного тиску.

03

Полірування поверхні зубів

Після очищення зуби поліруються спеціальною пастою та щіткою або гумовою чашечкою.

  • Поверхня стає гладкою
  • Менше затримується наліт
  • Зуби виглядають світлішими та охайнішими
04

Контроль чистоти

Лікар перевіряє кожну поверхню зуба та очищає міжзубні проміжки, щоб не залишилось відкладень.

Кому рекомендована процедура:

  • при кровоточивості ясен
  • перед ортодонтичним або ортопедичним лікуванням
  • при наявності імплантів і ортопедичних конструкцій
  • для профілактики 1–2 рази на рік

Вартість професійної гігієни

Комплексна професійна гігієна

Все включено за одну ціну

1 500 грн
  • Зняття твердих відкладень (Ультразвук)
  • Чистка AirFlow (зняття пігментованого нальоту)
  • Полірування зубів пастами
Записатися

Запишіться на гігієну онлайн

Оберіть зручний час через месенджер

Запитання пацієнтів

Скільки триває професійна гігієна? +
Процедура триває в середньому 45–60 хвилин.
Тривалість залежить від кількості зубного каменю та нальоту.
Чи можна робити чистку при кровоточивості ясен? +
Так. Саме зубний наліт і біоплівка часто є причиною кровоточивості.
Після професійної гігієни стан ясен зазвичай покращується протягом кількох днів.
Чи пошкоджує AirFlow емаль? +
Ні. Сучасний протокол GBT та апарат AirFlow використовують делікатний порошок та контрольований тиск.
Процедура є безпечною для емалі, імплантів, вінірів і коронок.
Чи відбілює професійна чистка зуби? +
Профгігієна не змінює природний колір зубів, але видаляє пігментований наліт від кави, чаю та куріння.
Зуби стають світлішими на 1–2 тони за рахунок очищення.
Чи потрібно робити чистку перед лікуванням або протезуванням? +
Так. Професійна гігієна покращує діагностику, якість пломбування, протезування та імплантації.
Чисті зуби — точніший результат лікування.
Чи можна робити чистку дітям? +
Так, за показаннями лікаря.
Регулярна гігієна допомагає зменшити ризик карієсу та формує правильну культуру догляду.
Чи можна робити чистку під час вагітності? +
Так, у другому триместрі процедура є безпечною.
Підтримка здоров’я ясен під час вагітності особливо важлива.
Що не можна робити після чистки? +
Протягом 2–3 годин не рекомендується вживати їжу та напої з барвниками (кава, чай, червоне вино).
У перші 24 години краще уникати куріння.
Чи буде чутливість після процедури? +
Іноді можлива легка чутливість протягом 1–2 днів.
Це нормальна реакція, яка швидко минає.
Чи потрібна чистка, якщо я регулярно чищу зуби вдома? +
Так. Домашня гігієна не видаляє твердий зубний камінь і біоплівку у важкодоступних ділянках.
Професійна чистка — це доповнення, а не заміна домашнього догляду.