Естетичне протезування зубів в Одесі

Вініри та коронки за цифровим протоколом: без неприємних зліпків
  • Цифрове сканування 3Shape TRIOS 4
  • Контроль якості на кожному етапі
  • Прогнозований естетичний результат
КОНСУЛЬТАЦІЯ ОРТОПЕДА
Малюкін Андрій — стоматолог в Одесі

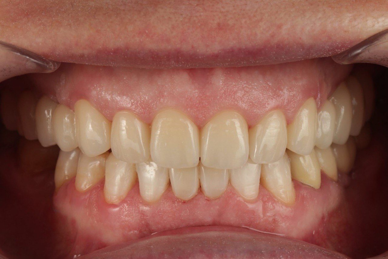
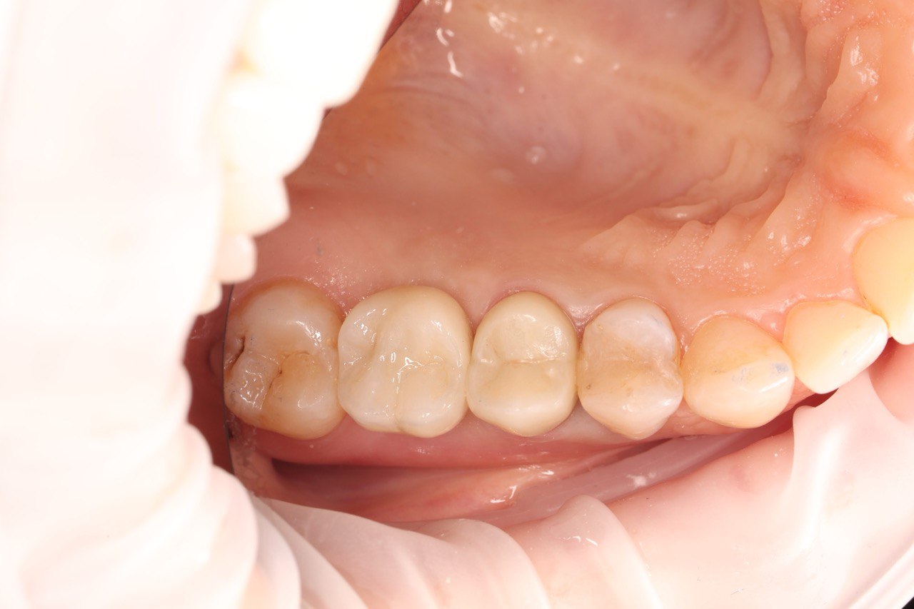
Цифрове відновлення зубів у Harmony Dental Clinic

Комфортне 3D-сканування

Забудьте про неприємні зліпочні маси та дискомфорт. Завдяки внутрішньоротовому сканеру 3Shape TRIOS 4 ми отримуємо точну цифрову копію ваших зубів за лічені хвилини.

🎯

Точність до 5 мікрон

Цифровий протокол виключає похибки, притаманні традиційним методам. Це гарантує ідеальну посадку одиночних коронок та мостовидних протезів — вони відчуваються як власні зуби.

🖥

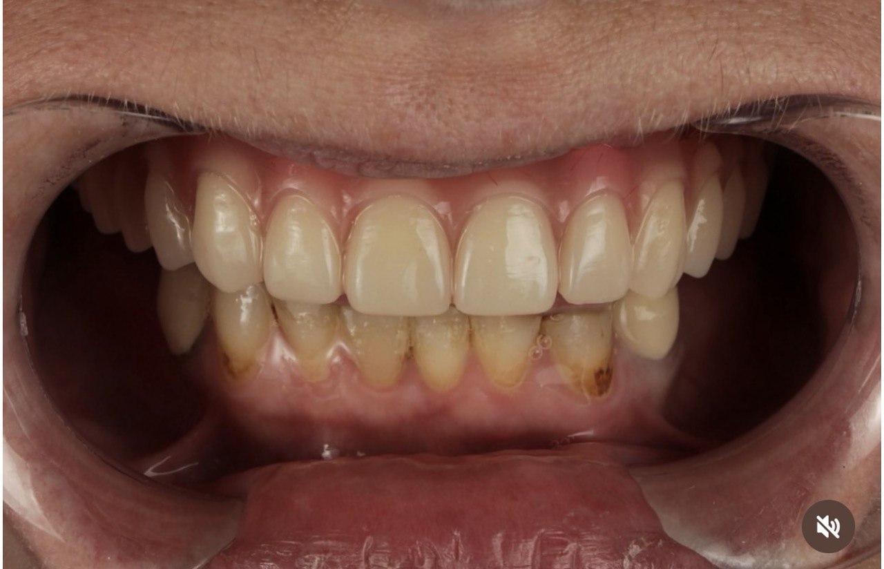
Примірка посмішки (DSD)

За допомогою Digital Smile Design ви можете побачити та узгодити форму майбутніх зубів ще до початку роботи. Ми проектуємо результат, який пацієнт схвалює заздалегідь.

🔩

Надійність на імплантах

Ми використовуємо цифрові протоколи для протезування на імплантах. Це забезпечує правильний розподіл жувального навантаження та довговічність конструкції.

💎

Преміальна біосумісність

Працюємо з діоксидом цирконію та керамікою E-max. Ці матеріали не викликають алергії, мають природну прозорість та витримують значне навантаження на жувальних ділянках.

🔋

Автономність та стабільність

Ваші візити не залежать від графіків відключень світла в Одесі. Клініка повністю обладнана потужними інверторами та генератором, щоб процес лікування був безперервним.

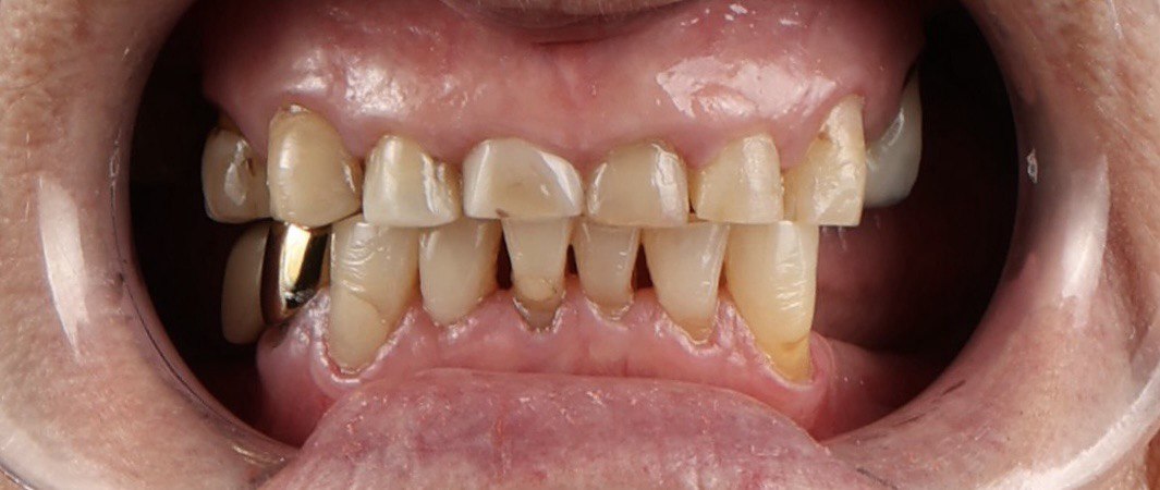
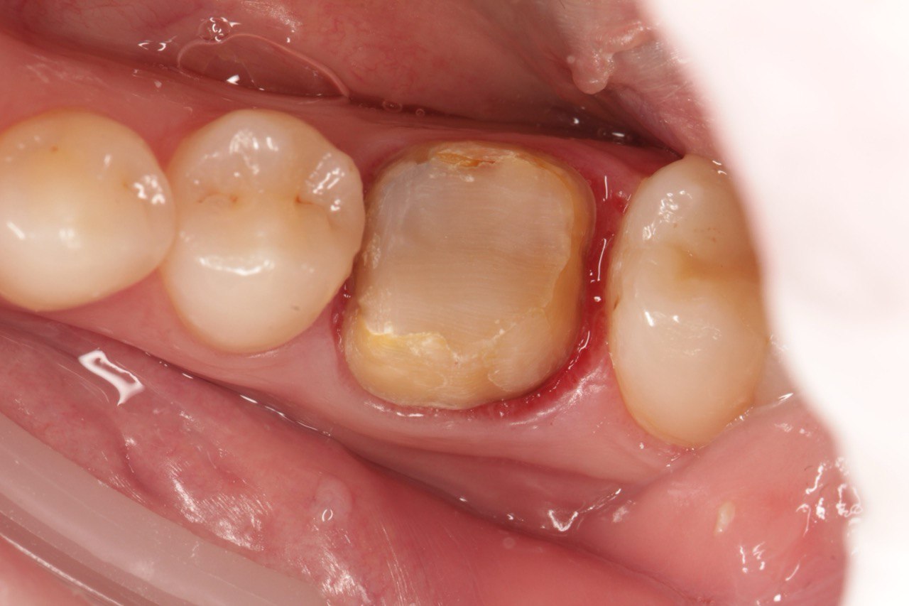
Яку коронку обрати?

Характеристика Металокераміка Цирконій (Multi-layer) Кераміка E-max
Естетика ⭐⭐⭐
Середня
⭐⭐⭐⭐⭐
Відмінна
⭐⭐⭐⭐⭐
Максимальна
Міцність Дуже висока Дуже висока Висока
Точність прилягання Середня Ідеальна (CAD/CAM) Ідеальна (CAD/CAM)
Для яких зубів? Тільки жувальні Жувальні та передні Переважно передні
Ціна Економ Стандарт / Преміум Преміум

Основні види постійних коронок

Металокераміка

110 $

Повернення функціональності та впевненості при жуванні. Міцний варіант для тих, хто цінує перевірені рішення та раціональний бюджет.

Записатися

Цирконієва коронка

170 $

Високоточна цифрова реставрація. Повна біосумісність, відсутність металу та ідеальна посадка завдяки скануванню 3Shape.

Записатися

Вініри / Коронки E-max

250 $

Створення бездоганної посмішки. Найвища естетика, тонка робота та збереження здоров'я ваших зубів.

Записатися

Залишилися питання?

Напишіть нам у месенджер, і ми проконсультуємо вас онлайн

Часті запитання

Це боляче — обточувати зуби? +
Ми проводимо всі маніпуляції під надійною місцевою анестезією. Найчастіше коронками накриваються вже ті зуби які раніше були сильно зруйнованими і в них вже видалявся нерв, в таких зубах чутливість при обточувані під коронку майже відсутня.
Скільки часу займає виготовлення коронки? +
Завдяки цифровому протоколу терміни скорочені. Зазвичай це займає 5-7 робочих днів. У цей час ви будете ходити з тимчасовою естетичною коронкою.
Який термін служби цирконієвих коронок? +
При правильному догляді цирконієві коронки можуть служити 10-15 років. Матеріал стійкий до стирання та не змінює колір з часом.
Що краще: імплантат чи мостоподібний протез (якщо немає одного зуба)? +
Імплантат вважається найкращим рішенням, оскільки він дозволяє зберегти сусідні зуби здоровими (їх не потрібно обточувати). Мостоподібний протез вимагає обточування сусідніх опорних зубів, хоча він може бути швидшим або дешевшим варіантом у деяких випадках.
Які існують протипоказання до протезування? +
На сьогоднішній день абсолютних протипоказань майже немає. Тимчасовими обмеженнями можуть бути гострі запальні процеси в ротовій порожнині або період одразу після видалення зуба. На консультації ми завжди підбираємо безпечний варіант для кожного пацієнта.
Як доглядати за коронками та вінірами? +
Догляд такий самий, як і за власними зубами: регулярне чищення двічі на день, використання зубної нитки або іригатора. Також важливо раз на півроку проходити професійну гігієну порожнини рота у стоматолога.